Tysons Dentistry

Crowns & Bridges

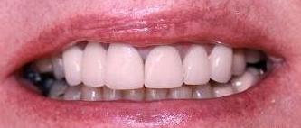
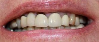
Before: Old crown and bridge showed gaps. After: New crown and bridge replaced up to gumline properly.

a patient with old crowns and bridge that had gaps between the gumline and the teeth | crowns and bridges vienna va new crown and bridges show no gap between tooth and gum line | crowns and bridges in vienna va
Still need an appointment?
If you have difficulty using our website, please email us or call us at (703) 442-0770
View the ADA Accessibility Statement