Tysons Dentistry
Implant-Supported Dentures
Customized Tooth Replacement

With implant-supported dentures you can be confident again while eating and speaking. Learn more about how we can help secure your dentures.

implant supported dentures | dentures | vienna va
Enjoy the Confidence of Dentures That Say in Place!
Call to Learn More

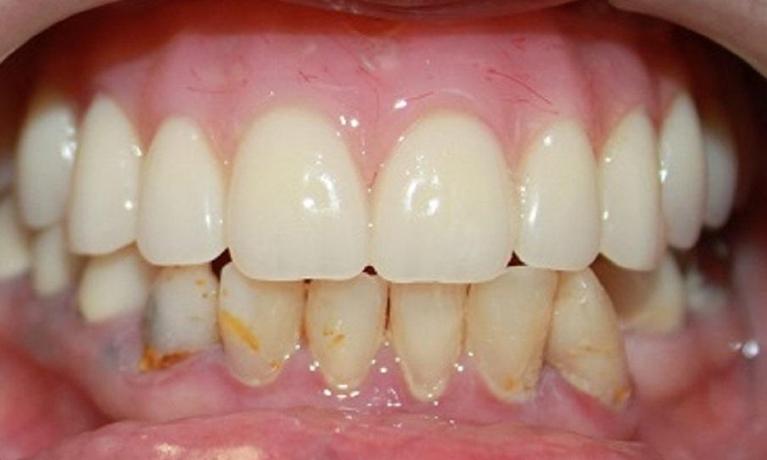
Implant-Supported Dentures in Vienna, VA

Are you frustrated by dentures that shift and slip, causing embarrassment and irritation? If so, Tysons Dentistry offers implant-retained dentures and hybrid dentures that may be the long-term tooth replacement you’re looking for.

You may be wondering what either of these types of specialized dentures can do for you. The easy answer is that they replace missing teeth to improve your comfort, appearance, and confidence and can change your entire outlook on life!

Please Contact Us to Arrange a Consultation

We know that you probably have questions about the different types of implant-supported dentures we offer to replace missing teeth, and we want to help you. Please contact our Vienna, VA dental office, and we’ll be happy to arrange a denture consultation with Dr. Sanati or Dr. Shahram to see what's possible for your smile.

Benefits of DIEM Hybrid Dentures

Studies show that the sooner you replace missing teeth, the less jawbone loss you will experience, and the better the long-term results will be. Some of the benefits of DIEM hybrid dentures in Vienna, VA are:

Placement

We can place your dental implants and, during the same visit, attach the specially designed implant denture.

Fewer accidents

Since the dentures are permanently attached to the tooth implants, worries of slipping and awkward accidents are a thing of the past.

Fixed Solution

Hybrid dentures are a fixed solution; in other words, you won’t have to worry about removing them for cleaning.

Faster Treatment

With the immediate placement of both implant and denture, you won’t have to suffer the embarrassment of going without teeth.

Restores Confidence

Knowing your fixed hybrid dentures are secure, restores your confidence, and improves your quality of life.

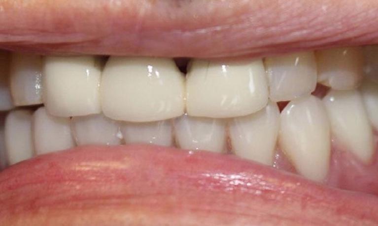
What Implant-Supported Dentures Can Do for You

couple with implant supported dentures in vienna vaJust like any removable denture created at Tysons Dentistry, we will carefully craft your implant-supported denture to complement your overall appearance. However, these dentures will look even more natural, since you won’t have any metal clips, plastic bases, or denture adhesive.

Since implant-supported dentures are permanently anchored in your mouth, they can restore full oral function. You’ll be able to eat all the foods you love and speak without fear of slipping dentures.

Finally, tooth implants help prevent bone loss in your jaw by stimulating growth in surrounding tissues. In this way, your restoration can maintain the natural facial structure contours of your jaw.

DIEM Hybrid Dentures in the 22182 Area

Sometimes referred to as “Teeth in a Day,” DIEM hybrid dentures combine the function of a denture with the stability of dental implants. Using fixed dentures, our dentist can replace missing upper and lower teeth.

Our Vienna, VA dentists design your hybrid denture to snap onto dental implants in your jaw to hold the denture securely in place. At Tysons Dentistry, we coordinate the entire process between our doctors, an oral surgeon, and a lab technician who prepares your dentures. You will be able to return home the day of surgery with a beautiful set of realistic-looking teeth that enhance your smile and restore function.

If you would like more information about replacing missing teeth with hybrid dentures in Tysons Corner, please call us to schedule an appointment with Dr. Sanati or Dr. Shahram to get started.

Featured Blog Posts - Implant-Supported Dentures

March 23, 2019

How Modern Dentures Can Improve Your Quality of Life

dentures | cosmetic dentistry | vienna va

Saying that well-made dentures can change your life may sound like a bit of a stretch. But if you have ever had to eat, speak, laugh, or smile with missing teeth, you know that solving these problems would definitely help you get a lot more out of life. 

If you’re considering dentures but envision teeth that look like they were made for someone else’s mouth, there are a few things you need to know about full and partial dentures in Vienna, VA

Modern Dentures Enhance Your Smile

Most people think dentures look ...

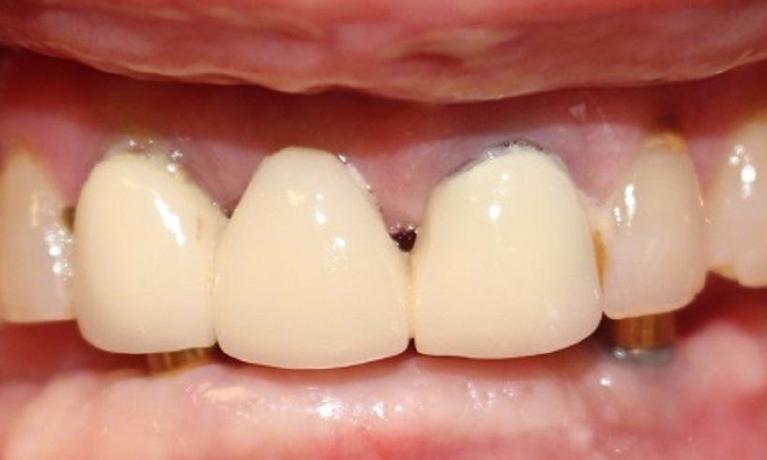
Implant-Supported Overdentures in Tysons, VA

Another effective implant-retained denture we offer is called an overdenture. Overdentures are customized dentures designed to attach to dental implants placed strategically in your jawbone.

Implant-supported overdentures improve stability, specifically on lower dentures. Using advanced 3-D CT scans, a qualified oral surgeon will surgically place two or more implant posts in your jawbone. Over time, the bone and implant integrate and become permanently rooted in your mouth.

The implant and denture have custom attachments that correspond to each other and connect them securely together.

Stability is a significant advantage and the primary reason many patients in Vienna, VA choose hybrid implant dentures. But another benefit is that implants will make your denture much less bulky. Traditional dentures consist of a plate that covers your entire palate, but an implant-supported denture does not need the plate to hold it firmly in place.

If you have questions about implant-supported overdentures, please call Tysons Dentistry to schedule an appointment.

Meet Our Doctor:

dr. ardalan sanati and shohreh shahram stand and smile together | dentist vienna va

Dr. Ardalan Sanati and Dr. Shohreh Shahram

Dr. Ardalan Sanati and his wife, Dr. Shohreh Shahram, both received their Doctoral of Dental Surgery Degrees from New York University College of Dentistry. They are licensed in the states of Virginia and Maryland. Both doctors are ASIRD members, CEREC CAD-CAM Sirona certified, and Invisalign certified dentists. Dr. Sanati is also accredited with a Laser Associate Fellow Membership.

Tysons Dentistry provides the latest dental technology in a relaxed and friendly environment. We are a family practice that offers the highest quality dental treatments available, focusing on prevention as the best oral ...

The Benefits of Modern Dentures That Stay Put

Slipping and shifting are common challenges faced by patients with removable dentures. If you have older dentures, there are a couple of reasons why you may be experiencing this problem.

First, the rigid material used to make older dentures did not have the flexibility to conform closely to the shape of the jaw. Since they aren't a perfect fit, removable dentures are prone to shifting when you eat, speak, or laugh. Of course, this usually happens at the most inopportune moments!

Another reason for slipping dentures is a change in the shape of your jaw and your bone density that naturally occurs as we age. This means that even if your dentures fit your mouth perfectly 20 years ago, they no longer conform to your jaw and become unstable.

Fortunately, modern implant dentures have had a dramatic effect on these problems. Today we craft dentures with an eye toward comfort as well as aesthetics. When we attach your dentures to the dental implants in your jaw, the result is dentures that look and feel better than older dentures ever did.

The process of getting dentures is not difficult, but it is an investment in time and money, so we want you to be delighted with the final results.

Please contact our Vienna dental office to arrange a complimentary consultation. At that time, we will be happy to discuss dentures as well as your other tooth replacement options.

Our Customized Implant Dentures Enhance Your Smile in Tysons Corner

Implant Dentures | Tysons DentistWe know you may be put off by the idea of dentures because you're worried that they will look artificial and obvious. Unfortunately, the dentures your grandparents wore most likely fit this description!

But you no longer have to worry about dentures that look like they belong in somebody else's mouth. Our Vienna, VA dentists design customized dentures to be functional, but the appearance of your dentures and how well they complement your smile are just as important. We'll customize your dentures to specifically suit the shape of your face, your natural tooth color, and even the color of your eyes and hair!

Unlike dentures made in the past, today’s dentures are made of an acrylic base to which the artificial teeth are attached. A skilled technician places each tooth individually to replicate the variations that occur in natural teeth. The result is a set of dentures that are custom-made to provide the functionality you need, while also enhancing your appearance.

Another advantage of today’s dentures is that they're much more comfortable to wear than they were in your grandparents' day. Unlike rigid dentures made decades ago, modern dentures are made from a softer material that closely conforms to the unique shape of your jaw.

Getting implant dentures can be life-altering, and we're here to guide you through the process and answer your questions. Please call our Vienna dental office for more information.

Are Implant Dentures the Right Choice for You?
Talk to Our Team Now
If you have difficulty using our website, please email us or call us at (703) 442-0770
View the ADA Accessibility Statement
Privacy Policy