Tysons Dentistry
Crowns & Bridges
Restore your smile to its original beauty

We offer both dental crowns and bridges to help restore weak or missing teeth. To speed up the process, we offer CEREC technology. Learn more today.

Crowns & Bridges | Dentist
Want to learn more about crowns & bridges?
Give our team a call!

Crowns & Bridges in Vienna, VA

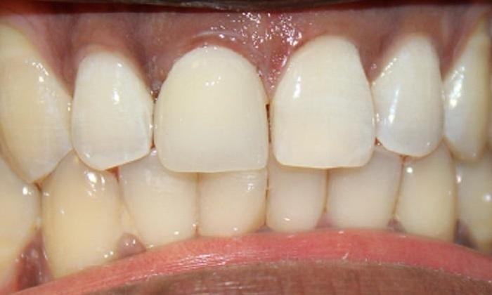
couple smiling with dental crowns in vienna vaMissing teeth can damage your appearance and can cause serious problems with simple functions like chewing and speaking properly. Fortunately, dental restorations like crowns and bridges are often the perfect solution to give you back a whole and healthy smile.

At Tysons Dentistry, our goal is to provide our patients with exceptional dental care that offers solutions for problems like missing teeth or teeth that have been compromised by damage or decay. Dr. Shahram and Dr. Sanati have extensive experience in creating durable, natural-looking dental restorations that will give you many years of use. We work with the best dental labs to create crowns and bridges that return your teeth to their full function and give you a smile you can be proud of. Our state-of-the-art dental laser allows us to comfortably prepare your gums for the placement of dental crowns to ensure a perfectly natural fit.

A loyal Tysons Dentistry patient for 7 years | Patient Testimonial

Uses for Dental Crowns

Crowns are used to entirely cover, or “cap,” a damaged tooth to strengthen and improve its appearance, shape, or alignment. Specifically, crowns can be used to:

  • Strengthen a tooth with a large filling
  • Protect a weak tooth from fracturing
  • Cover a dental implant
  • Strengthen and protect a tooth after root canal treatment
  • Disguise a discolored or poorly proportioned tooth

Dental Bridges in the Tysons Corner Area 

dental bridge is a dental prosthetic that is used to fill the space left by a missing tooth. This is referred to as a fixed bridge. The bridge is usually made as a single unit, including an artificial tooth and crowns that attach to adjacent teeth. A dental bridge not only improves your appearance, but it also prevents surrounding teeth from shifting out of place and moving into the space left by a missing tooth.

One inherent problem associated with dental bridges is the strain and structural stress that they place on surrounding natural teeth. At Tysons Dentistry, we can use a dental implant to anchor the bridge to take the pressure off your natural teeth and ensure a comfortable fit.

Whether you are having a crown or bridge placed, the preparation process is basically the same. First, we will evaluate your oral health so we can make the best decision as to which type of restoration is most appropriate for your situation.

We then take impressions that are sent to a top dental lab where your restoration is custom-crafted. When you return for your next visit, we adjust the restoration as necessary to ensure a perfect fit and a fully functioning tooth.

Prompt, Efficient Treatment

Maintaining optimal oral health should never be unpleasant or inconvenient. Our entire professional team is committed to making every visit to our office enjoyable and stress-free. We will not make you wait to get in for your appointment, and we see only one patient at a time so that we can focus all of our attention on you and your needs.

Stress-free financing options allow you to get the care you need without worry, and we accept most insurance plans. A knowledgeable member of our team is standing by to answer any questions you may have about insurance or financing. Please contact our Vienna dental office to arrange a convenient appointment.

Frequently Asked Questions

A dental crown is a restoration that is used to strengthen and protect damaged teeth. The crown is designed to completely encase your natural tooth, which is why it is often referred to as a cap.

At Tysons Dentistry, crowns are an essential part of the restorative treatments we use to return your tooth to its full function. Advances in dental materials now allow us to create crowns that not only protect your oral health, but actually enhance the appearance of your smile.dental crowns | vienna va dentist

Dental crowns have a number of uses:

  • Restore a broken or cracked tooth
  • Protect a tooth after root canal treatment
  • Support a dental bridge
  • Strengthen a tooth compromised by decay or disease
  • Alter the shape of an irregular tooth
  • Cover a severely stained or discolored tooth

How Our Tysons Office Does Dental Crowns

Using their skill and expertise, Dr. Sanati and Dr. Shahram can create dental crowns that are completely natural-looking and blend in perfectly with your natural teeth. With proper care, and regular visits to Tysons Dentistry, your new crown will last for many years.

If you have more questions about dental crowns, please contact our office. We will be happy to talk to you about crowns as well as other treatments that may be more appropriate for your unique situation.

 

 

 

 

A dental bridge is a type of restoration that we use to replace a missing tooth. It fills the empty space, restoring your appearance and the function of the tooth.dental bridge diagram or illustration

Just about anyone with a missing tooth is a good candidate for a dental bridge. Of course, you should keep in mind that everyone has unique needs, and Dr. Sanati and Dr. Shahram will help you decide if a bridge is the right choice for you.

A dental bridge is one unit that usually consists of three or more parts. The main part of the bridge is the artificial tooth that will fill the space left by the missing tooth. This is referred to as the pontic.

Since we must secure the pontic to your teeth, dental crowns are placed on either side to form one stable restoration. The dental crowns are then attached to neighboring teeth, leaving you with a functional, aesthetic replacement tooth.

Dental Bridges in our Vienna VA Office

At our Vienna dental office, we have created hundreds of bridges that are durable, provide function, and look completely natural. If you have a missing tooth, we can help you with a dental bridge, but we do have other options as well.

Please call our office, and we’ll be happy to arrange a complimentary consultation to discuss which tooth replacement solution is most appropriate for your needs.

Featured Blog Posts - Crowns & Bridges

August 23, 2025

Dental Crowns & Bridges in Vienna, VA – Expert Restorative Care

When it comes to smile restoration, there aren’t many more effective, durable solutions than dental crowns and dental bridges. Here at Tysons Dentistry, we’re proud to help members of our Vienna, VA, community with timely, effective, and empathetic expertise in choosing the proper dental restoration for them, and once we’ve ...

June 2, 2022

What Are Dental Crowns and Why You Might Need One

dental crown in vienna va

If you have a broken, decayed, or misshapen tooth, your dentist may recommend getting a custom dental crown in Vienna, VA. At Tysons Dentistry, Dr. Ardalan Sanati and his wife, Dr. Shohreh Shahram, lead our team in providing exceptional dentistry to patients of all ages. Of the many services we ...

October 31, 2018

Want to Extend the Life of Your Crown? Here’s How!

dental crown | dental bridge | vienna va

If you recently had a porcelain crown placed, you’re probably already enjoying its benefits. Not only can you smile confidently again, but you can return to eating your favorite foods without experiencing any discomfort.

Getting a new crown can improve your appearance and oral health, so you owe it to ...

Meet Our Doctor:

dr. ardalan sanati and shohreh shahram stand and smile together | dentist vienna va

Dr. Ardalan Sanati and Dr. Shohreh Shahram

Dr. Ardalan Sanati and his wife, Dr. Shohreh Shahram, both received their Doctoral of Dental Surgery Degrees from New York University College of Dentistry. They are licensed in the states ...

Getting an appointment is fast and easy!
Get Started!
If you have difficulty using our website, please email us or call us at (703) 442-0770
View the ADA Accessibility Statement