Periodontal Treatment in Vienna, VA
Have you been checked for periodontal disease in Vienna, VA?
Did you know that nearly half of US adults over the age of 30 have some level of periodontal disease? This chronic inflammation attacks the gums and supporting structures of your teeth, including bone. Without prompt treatment, gum disease can quickly progress and lead to tooth loss and other serious health issues involving the major organs.
The good news is that, in most cases, periodontal disease can be prevented and treated with professional therapies and proper oral hygiene.
At Tysons Dentistry, we understand the severity of gum disease and the effects it can have on both your dental and general health. We have always been strong advocates of prevention as the most effective way to reduce the risk of developing gum disease.
If you would like to schedule a periodontal exam or haven’t been to the dentist in a while, we encourage you to schedule an appointment. And read through the questions below to learn more about this preventable condition.
- What is periodontal disease?
- What are the symptoms of periodontal disease?
- How can preventive dentistry help lower my risks?
- What can I do to lower my periodontal disease risks between dental visits?
- How do you treat periodontal disease in Vienna, VA?
- What happens after periodontal treatment
What is periodontal disease?
Periodontal disease is a series of infections that invade your bones and soft tissues. Without treatment, you risk losing your teeth and compromising your systemic health.
Periodontal disease left untreated has been linked to:
- Heart attack
- Stroke
- Alzheimer’s disease
- Rheumatoid arthritis
- Low birth weight in babies
- Lung issues
Gum disease is destructive, but it's more than an oral health issue. Numerous studies now show a definite connection between chronic oral inflammations and diseases of the body. More research is being conducted, but it's thought that bacteria enter the bloodstream and contribute to serious health problems.
At Tysons Dentistry, we take immediate action to restore you to better oral health and lower your risks.
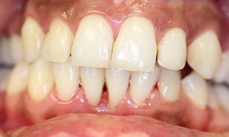
What are the symptoms of periodontal disease?
The symptoms of periodontal disease can be mild—you may not notice until it’s advanced—which is why regular dental visits are so important.
When symptoms do arise, you may notice:
- Bleeding gums, especially while brushing your teeth
- Gum redness, swelling, or gums pocketing away from your teeth
- Loose or loosening teeth
- Tooth pain and sensitivity, especially to hot or cold
- Bad breath or a bad taste in the mouth
We recommend contacting your Vienna, VA dentist if you notice any oral health changes, even if they are not on the above list.
How can preventive dentistry help lower my risks?
Preventive dentistry is the very symbol of oral health. It is the first step in prevention—not only in periodontal disease but in cavities and root infections.
The American Dental Association and most dentists recommend at least two preventive dentistry appointments each year. During this exam, your dentist checks for emerging periodontal disease—also called gingivitis—cavities, oral cancers, and so much more. If your dentist can spot periodontal disease in the gingivitis stage, it is often reversible. When gingivitis becomes periodontitis, it is only treatable.
Your dentist also takes periodic x-rays to get a closer look at your gum health or any underlying issues that are not visible through a visual exam alone.
Your professional teeth cleaning—an important part of prevention—allows our hygienist to remove the stubborn bacteria, plaque, and tartar that put you at risk for periodontal disease, cavities, and infections.
It’s crucial to schedule and keep all preventive dentistry appointments to lower your risks significantly.

One effect of smoking is staining due to the tar and nicotine in the tobacco. When you smoke, your teeth start to yellow almost immediately. Many long-term smokers who don’t look after their oral health end up with dark, stained teeth.
Periodontal disease begins to develop when bacteria-filled plaque builds up between your teeth and underneath the gums that help support them. Over time, bones recede, and pockets open up between your teeth and gums. Your teeth may begin to feel loose, and without treatment, the teeth may be lost.
