Smile Gallery
Before making a decision about any dental treatment, it's important to know that you're trusting your precious oral health and appearance to an experienced professional. Both Dr. Shahram and Dr. Sanati are passionate about delivering results that meet and exceed your expectations. Please take a look at the beautiful smiles of some of our patients and see for yourself!


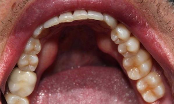
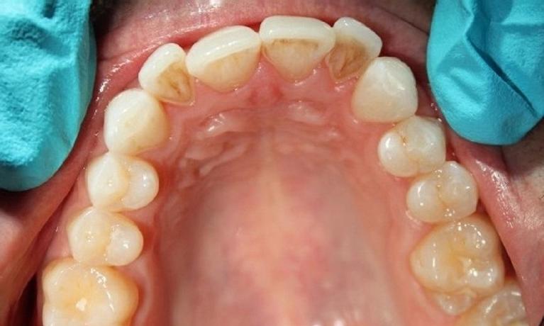
Damaged caries upper front teeth were restored with porcelain Crowns and Veneers. Missing posterior teeth were restored with Implant





A bicuspid tooth with mesial open contact and distal caries was restored properly with Porcelain Inlay with CEREC one-visit restoration in less than 2 hours! An inlay is used when the cavity is too large for simple filling. The inlay is created as a single solid piece of Porcelain to fill the cavity. The inlay is precisely made in the shape and size of the cavity space. It is cemented on the tooth. Because inlays are created from highly durable materials such as gold or porcelain, they are designed to last longer than traditional fillings and be more resistant to damage ...


Dental veneers are thin, tooth-colored shells that are attached to the front surface of teeth to improve their appearance. They’re often made from porcelain or resin composite materials and are permanently bonded to your teeth. They look like natural teeth. Veneers can be used to treat a number of different cosmetic concerns, including chipped, broken, discolored, or smaller-than-average teeth, uneven spaces, or a gap between the upper front teeth.


Chipped old filling with recurrent decay was restored with Porcelain Inlay in less than 2 hours. No second visit!


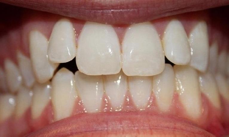
To improve the look of the patient's smile we fixed the spacing of his front teeth with Veneers.


The patient had lost top front teeth due to periodontal disease. After Implant placement, missing teeth were restored beautifully with an implant bridge.


Incredible transformation by resin infiltration! Say goodbye to unsightly white spots and hello to a flawless smile that radiates confidence:






Incredible transformation by resin infiltration! Say goodbye to unsightly white spots and hello to a flawless smile that radiates confidence:






Incredible transformation by resin infiltration! Say goodbye to unsightly white spots and hello to a flawless smile that radiates confidence:








This patient's transformation is truly remarkable! Once a person who rarely smiled openly, often covering it with her hand, she has undergone a remarkable transformation after getting her teeth whitened. Thanks to KöR ULTRA-T whitening system, she's now ready to light up every room with her perfect pearly whites.
The KöR ULTRA-T Whitening System is specifically developed to deliver truly exceptional results on cases of tetracycline staining that were once ...


Leaky large open margin filling was restored with Porcelain Inlay with CEREC technology same day


White spots on front teeth due to decalcifications after braces removal and After: Laser teeth whitening + Icon Resin Infiltration treatment
Spacing-- Some potential issues: Food lodges between teeth, risk of sore, tender gums, risk of periodontal disease. After one year of Invisalign treatment, teeth have aligned properly for a healthier mouth.
Crowding-- Some potential issues: Buildup of plaque and tartar, harbors harmful periodontal bacteria, risk of periodontal disease, tooth, and bone loss. After one year of Invisalign treatment, teeth have aligned properly for a healthier mouth.
Before: Non-restorable top teeth. After: DIEM hybrid dentures combine the function of a denture with the stability of dental implants.


Before: Chipped and discolored front tooth. After: Tooth properly restored with porcelain crown.
Take a look at this patient's amazing transformation from the EPIC laser whitening that took only 30 minutes!
Take a look at this patient's amazing transformation from the EPIC laser whitening that took only 30 minutes!
Take a look at this patient's amazing transformation from the EPIC laser whitening that took only 30 minutes!
Before: No teeth. After: DIEM hybrid dentures combine the function of a denture with the stability of dental implants.
Before: Discoloration of front teeth. After: Placement of implant crown and porcelain crown on the two front teeth with four veneers adjacent to them.
This patient had a few different issues including crowding, crossbite, and an edge-to-edge bite. This caused a few different problems like buildup of plaque and tartar that harbors harmful periodontal bacteria, premature tooth wear and risk of chipped teeth, abfraction--small notch in tooth at the gumline, jaw joint pain, risk of periodontal disease, tooth, and bone loss. After one year of Invisalign treatment, the teeth have aligned properly for a healthier mouth.


Take a look at this patient's amazing transformation from the EPIC laser whitening that took only 30 minutes! Top front teeth were also treated with porcelain crowns to give a beautiful smile!
Before: Old crown and bridge showed gaps. After: New crown and bridge replaced up to gumline properly.
Before: Decay present in the deep grooves on molar tooth. After: After decay removal, tooth has been restored with tooth-colored resin composite filling.
Before: Decay has reached the nerve of the tooth causing pain. After: Root canal treatment completed on molar tooth.
Before: Chipped front tooth. After: Tooth properly restored with porcelain crown.
Before: Decay has reached the nerve of the tooth. After: Root canal treatment completed on anterior tooth.
Before: Old gold crowns that showed when smiling and translucent front tooth. After: Replaced with tooth-colored porcelain crowns.


Final result after KOR Whitening and implant bridge for lower missing teeth.
Take a look at this patient's amazing transformation from the EPIC laser whitening that took only 30 minutes!
Before- Missing front tooth. After- Implant Crown placed for missing front tooth.
This patient had decay present on a molar tooth. We removed the decay and restored the tooth with a tooth-colored resin composite filling.
Before: Decay present on buccal surface on molar tooth. After: After decay removal, tooth has been restored with tooth-colored resin composite filling.

Before: Uneven front tooth. After: Tooth properly restored with porcelain crown.


This patient had uneven teeth in the front of their mouth. We treated the teeth with veneers to improve their cosmetic appearance and the patient's smile looks amazing!


This particular patient had a broken veneer they came to us with. We replaced their veneer and now their smile looks picture perfect!
Before treatment this patient came to us with a broken tooth. After a stress free, fast procedure the patient left with a restored porcelain crown.
The patient had some decay present on a molar tooth. After we removed the decay, the tooth was restored with a tooth-colored resin composite filling. The patient left thrilled with their new tooth!
This patient had a discolored tooth that also had some decay. The tooth was properly restored with porcelain crown and the patient left extremely happy!
Before: Permanent front tooth prevented from eruption due to thick tissue. The thick overlying soft tissues were uncovered to expose the "hidden" permanent tooth with laser. After: Result after 2 weeks. Permanent tooth erupting.
This patient's broken amalgam filling started developing secondary decays underneath it. After we removed the decay and old filling, the tooth was properly restored with a porcelain onlay.


Some spacing in this patient's teeth posed a few dental health risks including food lodging between teeth, risk of sore, tender gums, and even risk of periodontal disease. After one year of Invisalign treatment, the teeth have aligned properly for a healthier mouth.
This patient came to us with a surgically placed implant. We placed an Implant crown to restore missing tooth.




This patient's crowded teeth were posing a few different risks including plaque and tartar buildup which can harbor harmful periodontal bacteria. After one year of Invisalign, the patient's teeth have aligned properly and are healthy!
Crowding and open bite-- Some potential issues: Buildup of plaque and tartar, harbors harmful periodontal bacteria, risk of periodontal disease, tooth, and bone loss. After 5 months of Invisalign treatment, teeth have aligned properly for a healthier mouth.


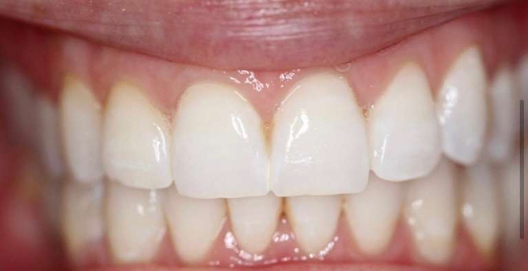
Cosmetic same-day CEREC porcelain crowns for 2 top front teeth. The patient left feeling happier and healthier!
Crowding-- Some potential issues: Buildup of plaque and tartar, harbors harmful periodontal bacteria, risk of periodontal disease, tooth, and bone loss. After 5 months of Invisalign treatment, teeth have aligned properly for a healthier mouth.

The crowding of this patient's teeth could have led to issues, including buildup of plaque and tartar, harbors harmful periodontal bacteria, risk of periodontal disease, tooth, and bone loss. After one year of Invisalign treatment, teeth have aligned properly for a healthier mouth.
Before: Pyogenic Granuloma removed by laser dentistry. After: Fully healed gums after 2 months.
Take a look at this patient's amazing transformation from In-Office ZOOM Whitening treatment after two sessions in one visit.


Before: Chipped and discolored front tooth. After: Tooth properly restored with porcelain crown.
Take a look at this patient's amazing transformation from In-Office ZOOM Whitening treatment after two sessions in one visit.

Spacing-- Spaces between the teeth. Back teeth are together but space is present between the front teeth. After frenectomy procedure with laser dentistry and 6 months of Invisalign treatment, teeth have aligned properly for a healthier mouth.


Chipped front teeth were restored with porcelain crowns.
Take a look at this patient's amazing transformation from In-Office ZOOM Whitening treatment after three sessions in one visit.


Severely decayed teeth were restored with Same day CEREC porcelain Crown and Inlay
This patient had a benign lesion in between two of their teeth. We were able to remove the lesion via laser dentistry. The patient had fully healed gums after one week!
This patient had an overgrowth of gum on one of their molars. Using laser dentistry we removed the overgrowth and restored the patient's smile and confidence back to them!
We used a combination of Zoom Whitening and a veneer to transform this patient's smile.


Before: Front gap with discolored and uneven shaped teeth. After: Tooth properly restored with porcelain crown to fill gap in the front. In-office ZOOM Whitening performed as well to have a uniform color and brighter smile.




Take a look at this patient's amazing transformation from the EPIC laser whitening that took only 30 minutes! Yellow stains gone!
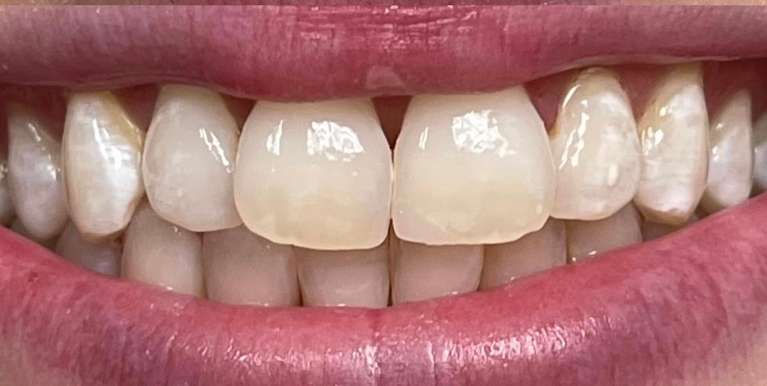
Before: Chipped, discolored teeth. After: Beautiful porcelain crowns for upper arch to give a transformed beautiful smile!
Open Bite-- Back teeth are together but space is present between the front teeth. After 19 months of Invisalign treatment, teeth have aligned properly for a healthier mouth.
Spacing-- Spaces between the teeth. After 29 months of Invisalign treatment, teeth have aligned properly for a healthier mouth.
Open Bite and Spacing-- Spaces between the teeth. Back teeth are together but space is present between the front teeth. After 12 months of Invisalign treatment, teeth have aligned properly for a healthier mouth.


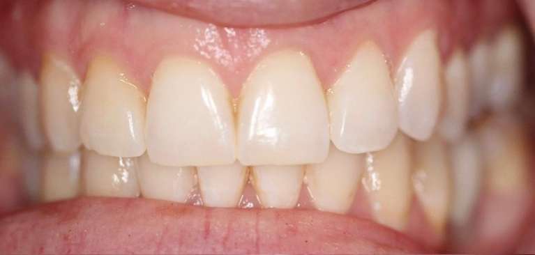
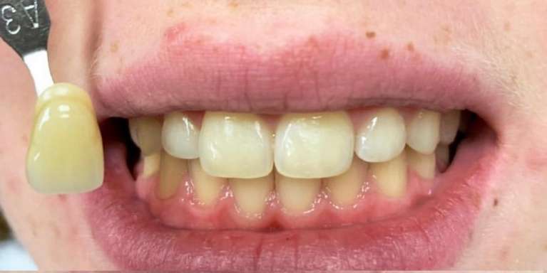
Discolored old bulky fillings for 2 front top teeth were replaced by Porcelain crowns using CEREC technology same-day crowns.