Resin Infiltration for Treating White Spots in Vienna, VA
At Tysons Dentistry, we’re committed to staying current with the most updated dental techniques designed to benefit your oral health. We’re especially focused on finding treatments that are less invasive and cost-effective.
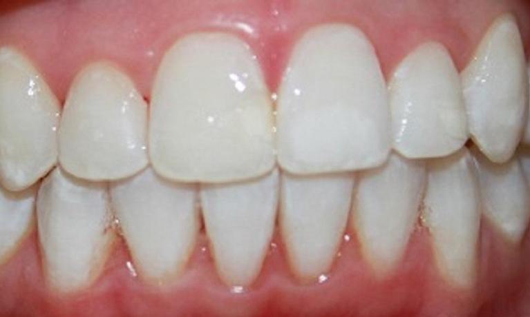
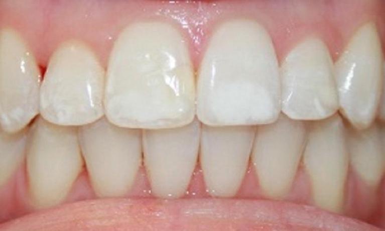
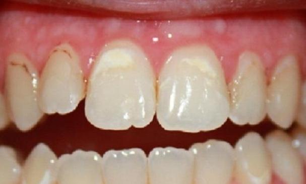
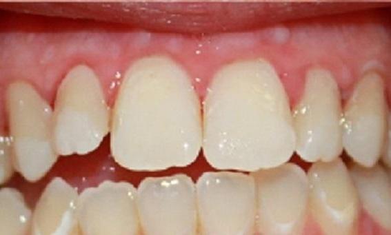
If you have white spots on the smooth surface of your teeth or small defects on the enamel between your teeth, we offer an innovative new procedure called resin infiltration. Resin infiltration is a complicated-sounding term for a fairly straightforward process that can resolve both these problems.
Resin Infiltration in the 22182 Area
Resin infiltration works by penetrating and filling the enamel to eliminate white spots and defects between teeth with a less invasive, pain-free alternative to more aggressive treatments. There is no need for injections or drilling with this procedure.
We start by isolating the gums to avoid any sensitivity. The tooth is then cleaned, etched, and dried. Next, a specially formulated gel is rubbed on the surface of the dental enamel. After a brief waiting period, the gel is washed away.
If we’re treating white spots, we’ll know immediately if the proper results were achieved. If not, we’ll immediately repeat the procedure. For defects between teeth, we may need to take an x-ray to determine if the procedure was successful.

