Tysons Dentistry
Cosmetic & Family Dentistry
Make An Appointment
Like us on Facebook
Follow us on Twitter
Visit us on Yelp
Watch our Youtube Videos
Leave a Google Review
Instagram
Bing
Call Today!
(703) 442-0770
8605 Westwood Center Drive #210, Vienna, VA 22182
Pay Online
Home
About
Our Team
Technology
Office Pictures
Services
View All
Gummy Smile Correction
Oral Cancer Screenings
CEREC Single Visit Crowns
Cosmetic Dentistry
Crowns & Bridges
Dental Implants
Dentures
Emergency Treatment
EPIC Laser Treatments
Implant-Supported Dentures
Invisalign Clear Braces
Laser Dentistry
Occlusal Splints & Mouth Guards
Pediatric Dental Care & Sealants
Periodontal Treatment
Porcelain Veneers
Preventative Dentistry
Resin Infiltration
Root Canals
Sedation Dentistry
Teeth Whitening
Tooth Extraction
Tooth-Colored Dental Fillings
Smile Gallery
Testimonials
Patient Info
View Patient Info
In-House Membership Plan
Forms
Financial
Specials
FAQs
Blog
Contact
Tysons Dentistry
>
Smile Gallery
>
Resin Infiltration
Resin Infiltration
Return to Smile Gallery
Previous
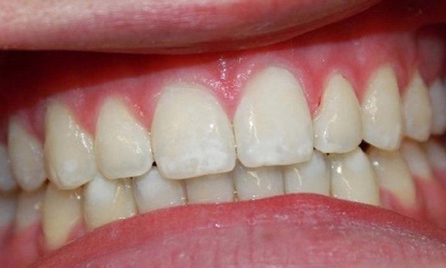
Before: White spots on front teeth due to fluorosis. After: Resin infiltration of lesion performed, an innovative approach to arrest progression of caries lesions.
Related Services:
Resin Infiltration
Drag the arrows back and forth to view complete Before and After views
Improve your smile today – call to schedule a consultation!
Contact Us
If you have difficulty using our website, please
email us
or call us at
(703) 442-0770
View the
ADA Accessibility Statement
Turn on ADA Views
OK!
×
×
Contact Us Today
Give Us A Call
Tysons Dentistry -
(703) 442-0770
Send Us an Email
Make An Appointment
Contact
Ready to Schedule an Appointment?
Make An Appointment
Have Questions? Contact Us:
Required Field
Your Name:
Phone:
Email:
Are you a new patient?:
Are you a?
New Patient
Current Patient
How would you like us to contact you?
Please choose
Email
Call
How did you hear about us?
Please choose
I'm an existing patient
Google/Bing
Mailer
Word of mouth
Social media
Other
Who Referred You?:
Appointment Preferences
Monday
Tuesday
Wednesday
Thursday
Your Message:
This site is protected by reCAPTCHA and the Google
Privacy Policy
and
Terms of Service
apply.
Sending...
×
This Patient's Experience
Loading Testimonial...
Loading Case...