Tysons Dentistry

Invisalign

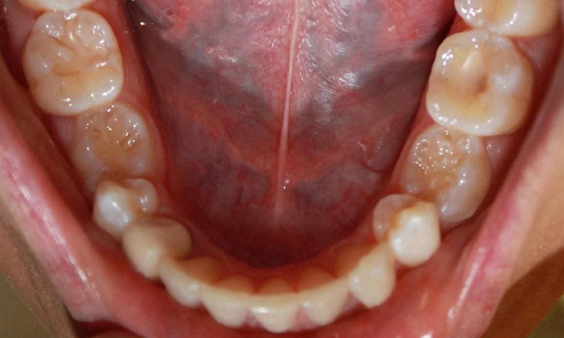
Crowding-- Some potential issues: Buildup of plaque and tartar, harbors harmful periodontal bacteria, risk of periodontal disease, tooth, and bone loss. After one year of Invisalign treatment, teeth have aligned properly for a healthier mouth.

Related Services:

Invisalign Clear Braces
crowded lower front teeth | invisalign dentist vienna lower front teeth after invisalign | dentist in vienna va
Have Questions? Get in Touch
If you have difficulty using our website, please email us or call us at (703) 442-0770
View the ADA Accessibility Statement