Tysons Dentistry

Invisalign

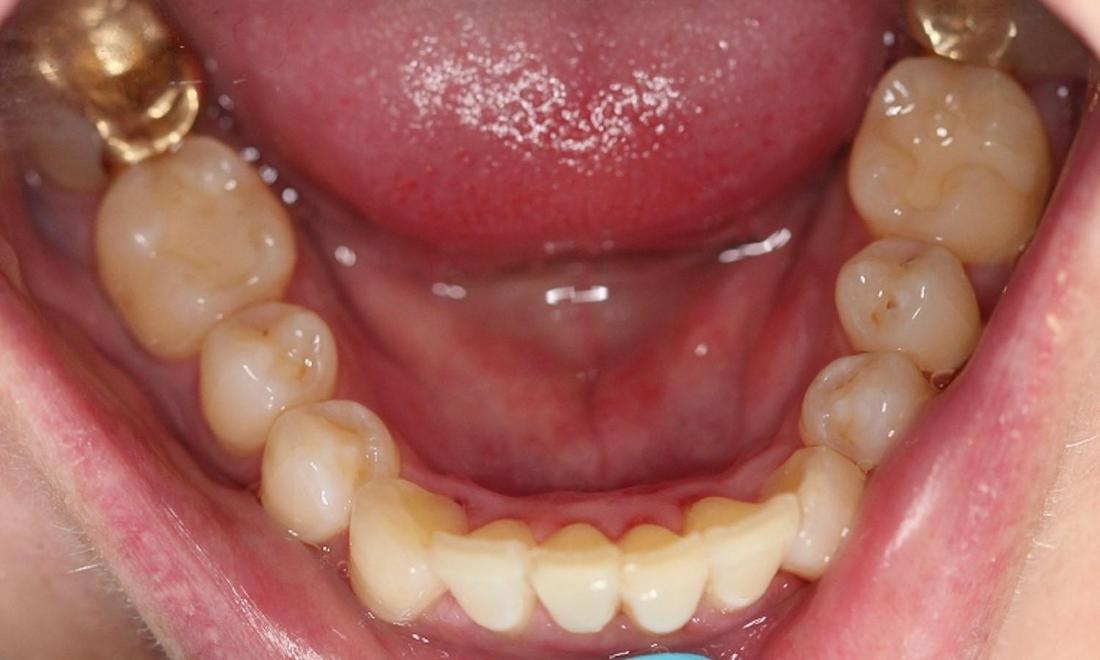
Spacing-- Some potential issues: Food lodges between teeth, risk of sore, tender gums, risk of periodontal disease. After one year of Invisalign treatment, teeth have aligned properly for a healthier mouth.

Related Services:

Invisalign Clear Braces
crowded teeth pre-invisalign treatment | invisalign vienna va teeth after an invisalign treatment | vienna va invisalign
Have Questions? Get in Touch
If you have difficulty using our website, please email us or call us at (703) 442-0770
View the ADA Accessibility Statement