Tysons Dentistry

Fibroma Removal with Laser

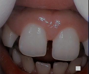
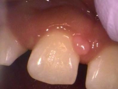
This patient had a benign lesion in between two of their teeth. We were able to remove the lesion via laser dentistry. The patient had fully healed gums after one week!

Related Services:

Laser Dentistry
A piece of gum that has a lesion on it | laser dentistry vienna va patients mouth after a gum lesion has been removed | laser dentist vienna va
Improve your smile today – call to schedule a consultation!
If you have difficulty using our website, please email us or call us at (703) 442-0770
View the ADA Accessibility Statement