Tysons Dentistry

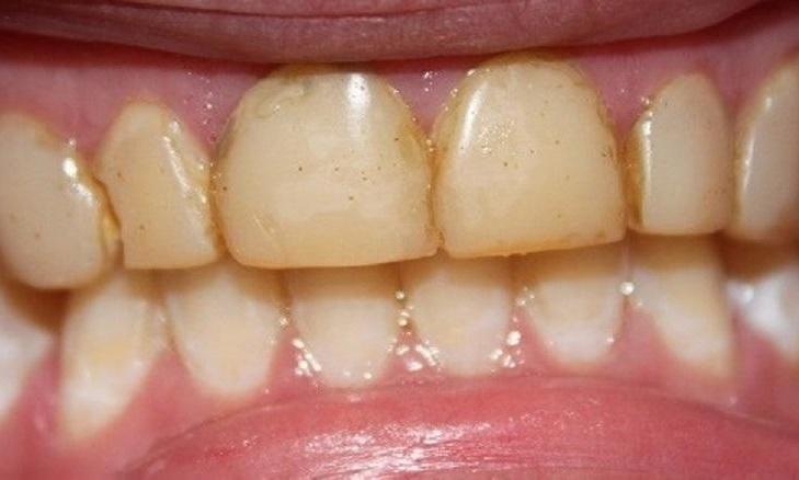
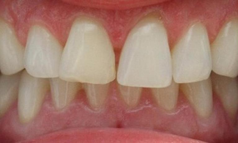
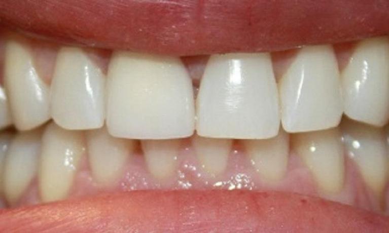
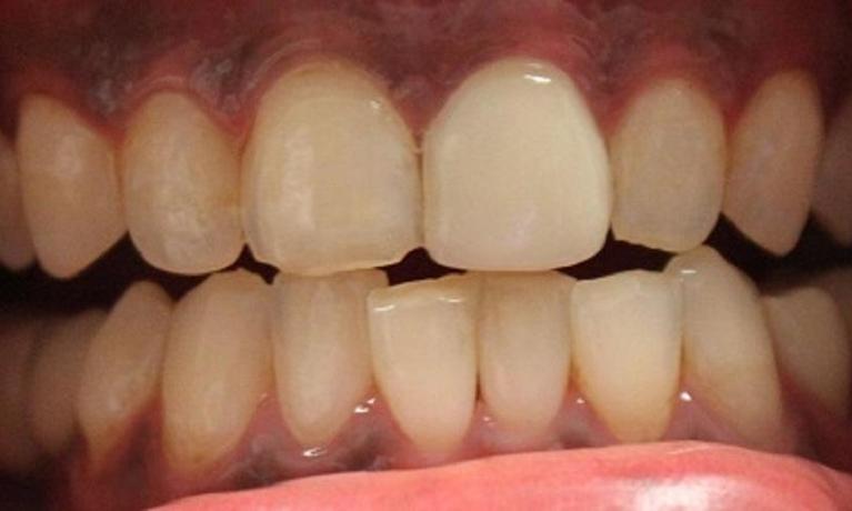
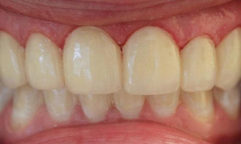
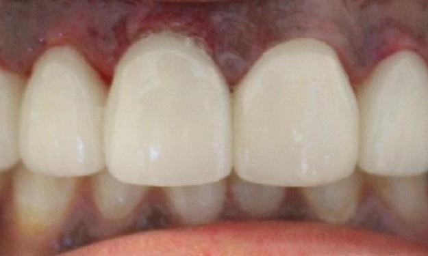
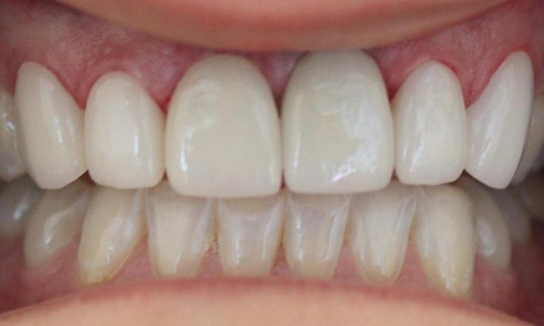
Smile Gallery: Porcelain Veneers

Before making a decision about any dental treatment, it's important to know that you're trusting your precious oral health and appearance to an experienced professional. Both Dr. Shahram and Dr. Sanati are passionate about delivering results that meet and exceed your expectations. Please take a look at the beautiful smiles of some of our patients and see for yourself!

Ready to book an appointment?
If you have difficulty using our website, please email us or call us at (703) 442-0770
View the ADA Accessibility Statement
Privacy Policy