Tysons Dentistry

Laser Whitening

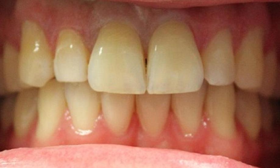
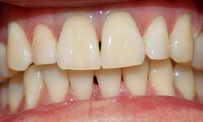
Take a look at this patient's amazing transformation from the EPIC laser whitening that took only 30 minutes!

Related Services:

EPIC Laser Treatments
teeth before laser whitening at our vienna office | laser teeth whitening vienna teeth after a laser whitening procedure at our vienna office | laser teeth whitening vienna
Not finding what you need?
If you have difficulty using our website, please email us or call us at (703) 442-0770
View the ADA Accessibility Statement