Tysons Dentistry

Invisalign

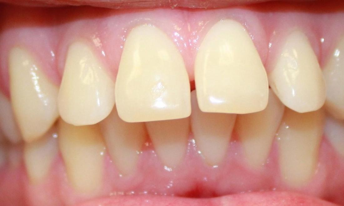
Spacing-- Spaces between the teeth. After 29 months of Invisalign treatment, teeth have aligned properly for a healthier mouth.

Related Services:

Invisalign Clear Braces
upper front teeth before invisalign, showing a slight gap | invisalign in vienna virginia upper front teeth after invisalign treatment, without gap | invisalign dentist in vienna virginia
Have Questions? Get in Touch
If you have difficulty using our website, please email us or call us at (703) 442-0770
View the ADA Accessibility Statement