Tysons Dentistry

Invisalign

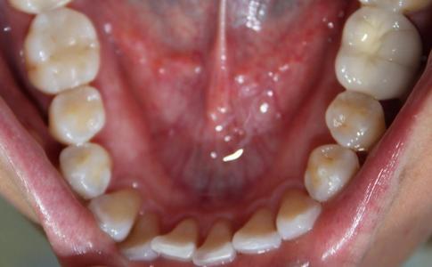
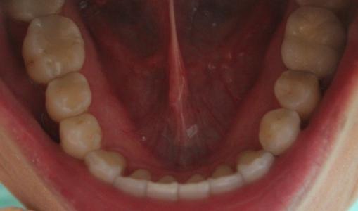
The crowding of this patient's teeth could have led to issues, including buildup of plaque and tartar, harbors harmful periodontal bacteria, risk of periodontal disease, tooth, and bone loss. After one year of Invisalign treatment, teeth have aligned properly for a healthier mouth.

Related Services:

Invisalign Clear Braces
a top-down view of a patients mouth before recieving an invisalign treatment | invisalign dentist vienna va a top down view of a patients lower teeth after receiving invisalign | invisalign dentist vienna va
Still need an appointment?
If you have difficulty using our website, please email us or call us at (703) 442-0770
View the ADA Accessibility Statement