Tysons Dentistry

Invisalign

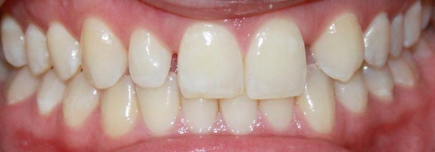
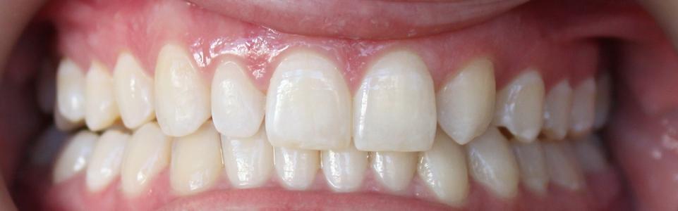
Some spacing in this patient's teeth posed a few dental health risks including food lodging between teeth, risk of sore, tender gums, and even risk of periodontal disease. After one year of Invisalign treatment, the teeth have aligned properly for a healthier mouth.

Related Services:

Invisalign Clear Braces
a smile with gaps on the sides of the front teeth | invisalign dentist vienna va a smile without gaps | invisalign vienna va
Getting an appointment is fast and easy!
If you have difficulty using our website, please email us or call us at (703) 442-0770
View the ADA Accessibility Statement