Tysons Dentistry

Invisalign

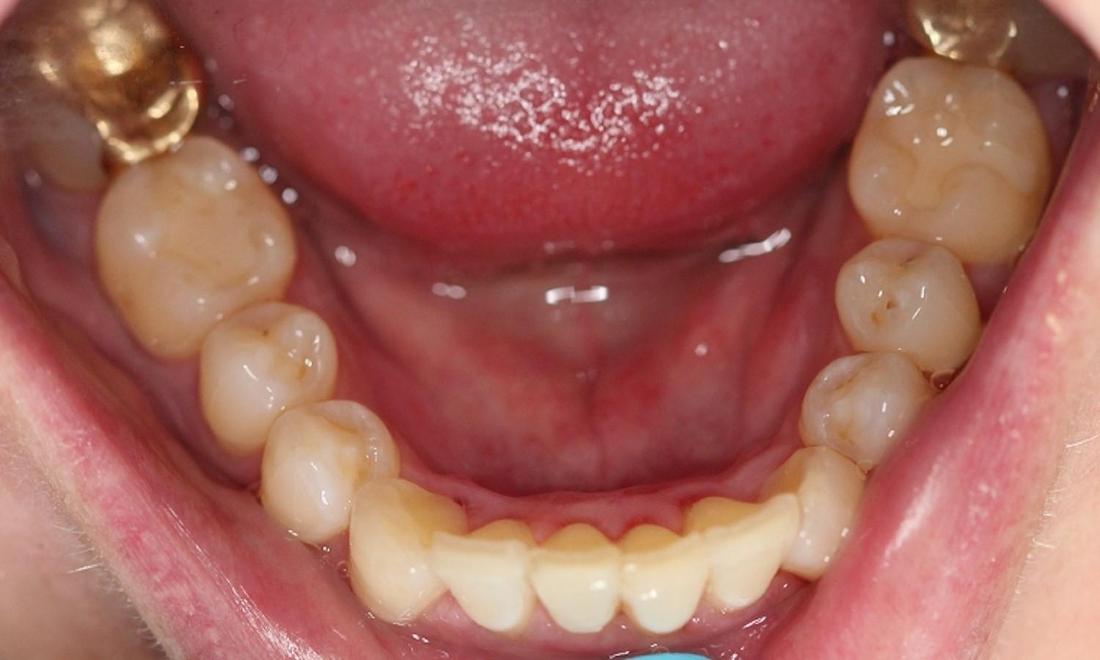
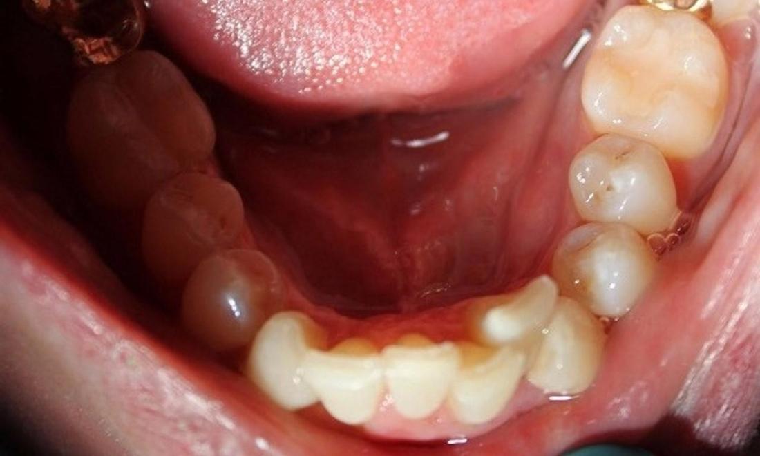
This patient's crowded teeth were posing a few different risks including plaque and tartar buildup which can harbor harmful periodontal bacteria, risk of periodontal disease, tooth, and bone loss. After two years of Invisalign treatment, teeth have aligned properly for a healthier mouth.

Related Services:

Invisalign Clear Braces
crowded lower teeth before an invisalign treatment | invisalign dentist in vienna va aligned lower teeth after an invisalign treatment | dentist invisalign vienna
Not finding what you need?
If you have difficulty using our website, please email us or call us at (703) 442-0770
View the ADA Accessibility Statement