Tysons Dentistry

Invisalign

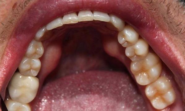
Crowding-- Some potential issues: Buildup of plaque and tartar, harbors harmful periodontal bacteria, risk of periodontal disease, tooth, and bone loss. After one year and a half of Invisalign treatment, teeth have aligned properly for a healthier mouth.

Related Services:

Invisalign Clear Braces
crowded lower teeth before an invisalign treatment | vienna va invisalign dentistry aligned lower teeth after an invisalign treatment with our office | vienna va invisalign treatment
Improve your smile today – call to schedule a consultation!
If you have difficulty using our website, please email us or call us at (703) 442-0770
View the ADA Accessibility Statement