Tysons Dentistry

Gingivectomy with Laser

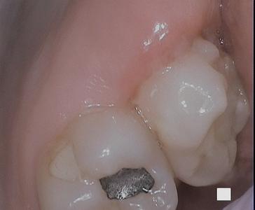
This patient had an overgrowth of gum on one of their molars. Using laser dentistry we removed the overgrowth and restored the patient's smile and confidence back to them!

gum with a growth | laser dentistry vienna va gums that have had growth removed | dentist in vienna va
Have Questions? Get in Touch
If you have difficulty using our website, please email us or call us at (703) 442-0770
View the ADA Accessibility Statement