Tysons Dentistry

Frenectomy & Invisalign

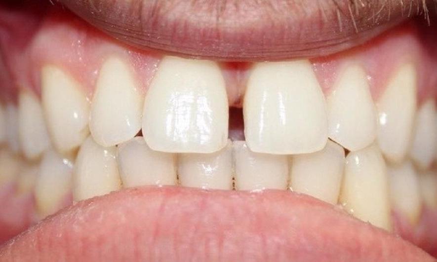
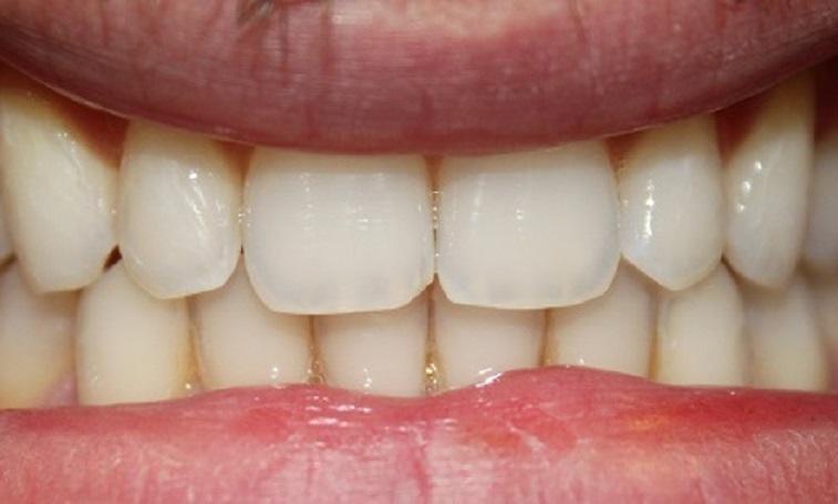
Spacing-- Spaces between the teeth. Back teeth are together but space is present between the front teeth. After frenectomy procedure with laser dentistry and 6 months of Invisalign treatment, teeth have aligned properly for a healthier mouth.

two front teeth with a gap and gum tissue between them | invisalign vienna va two front teeth with no gap, and less gum tissue in between | invisalign vienna va
Improve your smile today – call to schedule a consultation!
If you have difficulty using our website, please email us or call us at (703) 442-0770
View the ADA Accessibility Statement